Friday, June 3, 2016

Antibiotics for tooth decay

What is the best antibiotic for a tooth infection? How to get rid of tooth infection without antibiotics? How long does penicillin take to work on tooth infection? Does Methodone cause tooth decay? This video is unavailable because we were unable to load a message from our sponsors.


Doctor on Symptoms, Diagnosis, Treatment, and More: Dr.

Nunez on can antibiotics cause tooth decay : You need to have a very good oral hygiene care as well as periodic visits to your dentist, probably three times or more a year to follow progression of decay , and give you Fluoride treatments to prevent further decay. Listerine can kill the bacteria in your mouth. Antibiotics only help systemic bacteria, and the bacteria in your mouth are topical rather than systemic.


Cavities work from the. NONE OF THE MEDS USED NOT OMNICEF, SEPTRA OR AMOXIL ARE. If you have an infection, this medication may clear it up. Also, be sure not to drink ANY alcohol on.


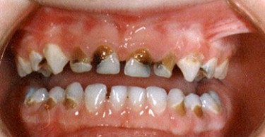
The cause is most often attributed to poor dental hygiene, although a genetic proclivity to tooth decay can also play a role. Since the oral cavity is rife with bacteria, any opening in the tooth enamel can cause serious complications for the root and supporting bones.

However, it can also develop due to previous dental work or traumatic injury. When bacteria gets into the root of a tooth, it can cause a buildup of pus. This kind of infection is called an abscessed tooth, or a periapical abscess. These infections don’t go away on their. Though the acid from heartburn and acid reflux can lead to tooth erosion, treating these conditions with antacids can also be bad news for your oral health.


While antacids reduce tooth -damaging acid in your mouth, antacids can weaken your teeth and contribute to tooth decay. This risk is applicable to chewable, dissolvable and liquid antacids. She confirmed that antibiotics such as amoxicillin indeed caused tooth decay in children.


While antibiotics are good for treating bacterial and fungal infections such as strep throat, pneumonia, certain sinus and ear infections, research has found that they may affect tooth enamel. An abscessed tooth is a painful infection at the root of a tooth or between the gum and a tooth. Other causes of tooth abscess are trauma to the tooth , such as when it is broken or chippe and gingivitis or gum disease.


We’ll talk about the most effective antibiotics for tooth infections. Hence, it becomes necessary to control it at the initial stages. The natural remedies mentioned above effectively solve tooth infection without antibiotics.


Will You Need Antibiotics After a Tooth Extraction? Whether or not you need antibiotics after a tooth extraction will largely depend on why the tooth is being extracted. Tooth extractions in adulthood are sometimes a necessary measure to stop pain and save your dental health. When an acute infection that originated from tooth decay becomes systemic (ie. facial swelling, fever), oral and or intravenous antibiotics may be indicated.


Oral wounds at times require antibiotics.

The provider needs to consider, amongst other things, the extent of damage as well as nature of contamination of wound. Even after trying your best to prevent tooth decay , sometimes the dentist finds a little cavity or two. Since I cannot eliminate most of the meds used to treat my paraplegia, I can only treat the symptoms. The infection usually occurs when a dental cavity ( tooth decay ) goes untreated and spreads deep within the tooth. Your dentist may prescribe antibiotics to treat a tooth infection but don’t be alarmed.


Antibiotics are a common and effective treatment for most bacteria, including oral infections. I feel terrible about it. He apparently needs a tooth taken out. However, I have heard of a link between babies that have lots of antibiotics when tiny and tooth decay. The infection can be present in the pulp inside the tooth , the bone around the end of the tooth or the gum tissue.


Even though antibiotics will kill invading bacteria, they will not be able to penetrate inside a dead tooth. The review set out to assess the effects of taking antibiotics when provided with, or without, dental treatment. Dental pain is a common problem and can arise when the nerve within a tooth dies due to progressing decay or injury.

No comments:

Post a Comment

Note: Only a member of this blog may post a comment.

Popular Posts