Is penicillin prescribed for a tooth abscess? How to get rid of an abscess in your mouth? When bacteria gets into the root of a tooth, it can cause a buildup of pus. This kind of infection is called an abscessed tooth, or a periapical abscess. These infections don’t go away on their.
In some cases, your dentist may be able to drain the abscess.
Other cases might require a root canal or removal of the infected tooth. Antibiotics are generally used when: your infection is severe. Tooth abscess is caused by a bacterial infection. In cases where the infection spreads, antibiotics are prescribed.
This article lists the antibiotics that are widely prescribed to constrict problems with regard to the oral cavity. In reality, most tooth infections require work on the actual tooth itself to clear up completely. A dental abscess is an infection of the mouth, face, jaw, or throat that begins with a tooth infection, a cracked tooth, and trauma.
Abscessed tooth symptoms include pain, fever, and chills. Treatments for an abscessed tooth are draining the pus, pain relief, and antibiotics.
Ask your doc for diflucan to go along with it to keep yeast at bay that are caused by these antibiotics. Also if the abscess is oozing they will culture it to see what antibiotics it’s sensitive to. Indicated for skin and skin structure infections caused by beta-lactamase–producing strains of Staphylococcus aureus.
Your mouth is full of bacteria, which form a sticky film on your teeth called plaque. What causes dental abscesses ? Odontogenic infection is a range of the inflammatory diseases of the mouth cavity and maxillofacial area that threaten the human’s health. At first sight, the infections of the mouth cavity are not dangerous but the absence of the proper treatment may result in serious threatening endangering human. Fenugreek Tea Mouth Wash. Apple Cider Vinegar Remedy.
Turmeric for tooth infection. Hydrogen Peroxide Remedy. Medicines that cure tooth abscess. They help to stop the growth of the offending bacteria and kill them as well. Common antibiotics your doctor would prescribe penicillin, metronidazole, azithromycin, or amoxicillin-clavulanate.
Common side effects of doxycycline include diarrhea, sore mouth and upset stomach. Bioavailability of the drug, Route of administration (orally or I.V or I.M), IV has the fastest action and oral the slowest. A periodontist also might use antibiotics for some cases of gum disease that are difficult to treat. They consist of: Necrotizing ulcerative gingivitis (NUG), a rare form of gum disease that ends up being severe really quickly.
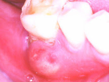
The most common cause of an abscess in your mouth is a bacterial infection.

It could be on your gums or anywhere in your mouth. It is important to learn how to get rid of an abscess in your mouth as early as possible to avoid further complications. A gum abscess occurs when bacteria in the mouth causes an infection in the space between the teeth and the gums. Some gum abscesses result from periodontitis disease, which is caused by poor oral. Another antibiotic that is also recommended by the BNF is co-amoxiclav,.
Restore the natural balance in your mouth with ProBioraPlus oral care probiotics. A once-a-day probiotic mint, that supports your gum and tooth health!
No comments:
Post a Comment
Note: Only a member of this blog may post a comment.