Monday, September 3, 2018

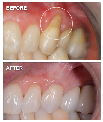
Laser treatment for gum recession

How can gum recession be treated? How do I care for my gums after laser gum surgery? Is there any natutural remedy for gum recession? How much does laser gum surgery cost?


Typical treatment for periodontal disease is scaling and root planing (SRP), which is a non-surgical method of cleaning the surfaces of the teeth and their root which may be exposed due to gum recession.

This removes tartar, plaque and bacteria from the gum surrounding the root, and promotes the healthy regeneration of the gum tissue. When gum recession occurs. Discover how we can Help YOU with LASERS!


If you have insufficient attached gingiva to prevent the muscle in the alveolar mucosa from pulling the gum down, the gum slowly continues to recede over time, even if you are looking after yourself. Laser Gum Treatment SPECIAL. For a limited time only we are offering free comprehensive laser gum treatment evaluation, free full mouth x-rays (value $150) and consultation with the certified laser doctor. In addition, there is a free sedation treatment (value $275), for the patient with dental anxiety, for any laser gum treatment.


Treatment for receding gums is determined by the cause of the gum recession.

Practicing good oral health may help, or you may need surgery. The second and more modern option for treating gum disease is non-surgical laser gum treatment. A non-surgical laser gum treatment is a minimally invasive procedure that is much safer and less painful – and the patient heals much faster. This is a nonsurgical method that includes cleaning the surfaces of teeth and their roots, which may be exposed due to gum recession. If the best cosmetic dentist in Brooklyn determines that you can benefit more from laser gum surgery instead of traditional gum recession surgery, you should follow his recommendation because it’s likely your best treatment option.


In laser therapy for gum disease, your dentist uses a laser instead of a scalpel to remove all of the infected. Traditional gum surgery involves removing extra gum tissue and reshaping the bone, so the process is inherently more painful and requires a longer recovery period than laser gum surgery. During traditional surgery, Dr. Sakamoto must lift and roll the gum back and remove the bacteria and diseased gum tissue.


For moderate gum disease, Dr. Flynn is often able to provide laser treatment as an effective alternative to traditional gum surgery. He uses the laser to disinfect the gums and remove diseased tissue. As the pockets enlarge, they provide a. Robert Barr during years of pioneering laser.


Using a precision laser , the Doctor is able to kill up to of the disease-causing bacteria in the periodontal pockets. TREATMENT OPTIONS FOR GUM RECESSION. Treating your gum recession may be as simple as having a dentist at Colorado Advanced Dentistry perform a deep cleaning procedure.

Known as tooth scaling or root planning, this gum treatment will remove the plaque and tartar buildup and smooth out the exposed root area. The LANAP protocol is the only laser gum disease treatment FDA cleared for True Regeneration based on scientific evidence. Simply put, the LANAP protocol can re-grow the tissues and bone lost to gum disease, and has the science and research to prove it.


Pinhole Gum Rejuvenation(TM) also known as Lunchtime Gum Lift(TM) is a gum recession breakthrough treatment. It is a scalpel free, suture free and graft free procedure for treating gum recession.

No comments:

Post a Comment

Note: Only a member of this blog may post a comment.

Popular Posts